荆楚网(湖北日报网)讯(通讯员 张莉莹 魏晓燕)18岁的患者茜茜(化名)因遗传性重度拇外翻畸形,长期无法正常穿鞋子,严重影响外观与日常行走。在襄阳市中医医院足踝骨科就诊后,经科主任王春玲系统评估,诊断为双足拇外翻,符合手术指征,为其开启日间手术模式,实行局麻下双足拇外翻截骨矫形整复术,即局麻下拇内收肌松解+骨赘削除+第1跖骨截骨术。
手术当日,在手术麻醉科、放射影像科通力协作下,凭借精湛技术与丰富经验,王春玲带领团队术中仅用1厘米、0.5厘米、0.5厘米三处微创小切口,将截骨角度精准把控在1°的较高精度。手术历时半小时,出血量不足5毫升,手术成功。术后,茜茜在医护人员指导下穿戴“拇外翻术后平底鞋”,在手术室内负重行走,其步态稳定,仅有轻微疼痛,并步行返回病房。

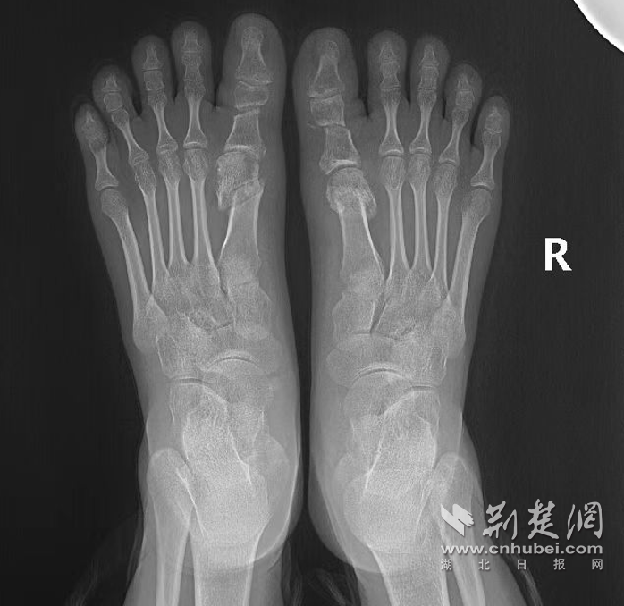
手术前。 通讯员 供图
术后6小时茜茜生活自理,独立完成如厕、洗漱、饮水等;术后24小时复查X线示截骨对位良好。在确保手术部位安全的前提下,王春玲指导其扶拐出院,并制定个性化康复计划,使其患肢通过科学、渐进的负重刺激,促进愈合,恢复功能,预防并发症。术后3个月随访,茜茜双足拇指功能接近正常,畸形矫正满意。

手术后。 通讯员 供图
王春玲表示,拇外翻俗称“大脚骨”,是一种常见的足部畸形,也是一种进行性发展的病理状态,会引起疼痛和一系列功能障碍。该例手术通过微创切口、精准操作,不仅成功手术,而且将加速康复外科(ERAS)理念贯彻至全程,达到 “术后即刻下地、自行步出手术室、术后24小时内安全出院” 的日间手术理想目标,为足踝疾病患者提供了创伤小、恢复快、体验优的微创治疗方案,为更多患者重塑健康足踝、回归自信人生。
Copyright © 2001-2026 湖北荆楚网络科技股份有限公司 All Rights Reserved
互联网新闻信息许可证 4212025003 -
增值电信业务经营许可证 鄂B2-20231273 -
广播电视节目制作经营许可证(鄂)字第00011号
信息网络传播视听节目许可证 1706144 -
互联网出版许可证 (鄂)字3号 -
营业执照
鄂ICP备 13000573号-1
鄂公网安备 42010602000206号
版权为 荆楚网 www.cnhubei.com 所有 未经同意不得复制或镜像